|
||||
|
|
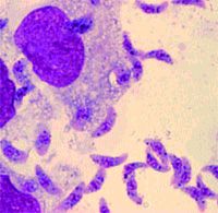
НОВОСТИ: Виноватый взгляд жертвыАвтор: Дмитрий Шабанов Каждому из нас кажется, что его органы чувств и психика воспринимают мир таким, каким тот является. Мир меняется, ну а мы-то остаемся самими собой, разве что новый опыт приобретаем… На самом деле, все намного сложнее. Людское мировосприятие обусловлено нашей предысторией, формировавшей и наши органы чувств, и мозг - «матчасть», основу психики. Как бы это ни ранило кого бы то ни было, история человека есть история одной из эволюционных линий животных. Как большинству животных, нашим предкам приходилось защищать свои тела от хищников и паразитов. Следы этой борьбы навсегда сохранились в конструкции тела. Мы - представители отряда приматов, сформировавшегося в результате приспособления к жизни в кронах деревьев. Подобно многим животным, обитающим в сложной трехмерной среде, мы имеем острое зрение, чувствительное к цвету и позволяющее хорошо определять расстояние до удаленных предметов. До сих пор казалось, что развитие зрения связано с перемещением в ветвях и выбором пищи. Однако исследования Линн Исбел (Lynne Isbell), «поведенческого эколога» из Калифорнийского университета в Дэвисе, показали, что зрительные центры мозга приматов связаны в первую очередь с центрами, распознающими опасность. Объяснение, которое дает Исбел, очень простое: ведущим фактором формирования нашей зрительной системы было стремление обнаруживать и избегать змей. ![]() В соответствии с излагаемыми взглядами, змеи были проклятием млекопитающих на протяжении большей части их истории. Скрытный хищник с растягивающимся до невообразимых пределов ртом преследовал еще наших древнейших наземных предков. С появлением ядовитых змей их опасность возросла многократно. Нам жизненно важно было иметь такое зрение, которое позволило бы обнаружить подкрадывающуюся змею до ее выхода на дистанцию броска. И не только зрение, а и систему распознавания образов! Специальные структуры в нашем мозгу предназначены для узнавания змей и реагируют на любое змееобразное движение. Кстати, что интересно, врожденного страха перед змеями у человека нет, есть лишь врожденное внимание к ним. Увидев паническое отношение к змеям со стороны взрослых, ребенок станет их бояться; увидев интерес - может полюбить (вспомните о множестве увлеченных террариумистов). Трудно лишь найти человека, которого бы змеи никак не цепляли. Мы несем на себе отпечаток воздействия змей, которые питались нашими предками? Развивая идеи Исбел, можно задуматься о многообразии параллелей между геометрическими узорами африканских змей и традиционными (соответствующими глубоким архетипам) узорами и орнаментами разных народов. И еще один штрих. Даже когда наши африканские предки стали достаточно крупными, сохранялся вид змей, который мог продолжать ими питаться. Кроме южноафриканской анаконды, в четверку змей-гигантов входят азиатские сетчатый и тигровый питоны и африканский иероглифовый питон. Рекордсменом среди них является сетчатый (до 12 метров длины), но и другие змеи этой четверки могут проглотить даже современного человека. К счастью, это происходит редко. Вероятно, одна из причин - особенности работы системы распознавания образа жертвы у самих змей. Например, сетчатые питоны живут в Юго-Восточной Азии возле деревень, где регулярно воруют коз, собак и свиней - четвероногих жертв. На людей, как ни странно, они практически не нападают: двуногий человек выглядит иначе, чем привычная добыча консервативных в своих предпочтениях змей. Может, одним из многих факторов, способствовавших переходу наших предшественников к двуногости, был выход из визуальной модели жертвы у иероглифовых питонов (равно как и других хищников)? Однако что удивительного в том, что наши органы чувств несут на себе отпечаток нашей предыстории? Казалось бы, высокоразвитая психика современного человека способна исправить искажения, вызванные их работой. Увы, исследование доктора Кевина Лафферти (Kevin D. Lafferty) из другого подразделения Калифорнийского университета (в Санта-Барбаре) заставляет усомниться и в этом. Чтобы пересказать основной вывод недавней статьи Лафферти в Proceedings of the Royal Society, Biological Sciences, надо изложить некоторые хорошо известные факты. Паразитологам давно известен паразит кошек Toxoplasma gondii. Это простейшее, дальний родственник малярийного плазмодия, относящийся, как и он, к типу Апикомплексные. Сложный жизненный цикл токсоплазмы включает паразитирование на крысах (промежуточном хозяине). Чтобы промежуточный хозяин вернее попал в зубы к окончательному (кошке, лишь в ее организме происходит половой цикл развития токсоплазм), паразит меняет поведение крыс. Те теряют осторожность, легко заходят на помеченную кошками территорию и становятся их добычей. ![]() Опасность токсоплазмозов для человека раньше связывали лишь с заражением во время беременности. Если, пообщавшись с кошечкой, женщина впервые заражается этим паразитом во время беременности, тот передается через плаценту плоду и может вызывать слепоту, гидроцефалию или обызвествления в мозгу. Считалось, что кроме этих эксцессов, токсоплазмозы протекают у человека практически бессимптомно, но было известно, что ими заражена значительная часть населения планеты (примерно 40%). Источником заражения являются фекалии кошек, которые ели крыс, или непрожаренное мясо животных, контактировавших с этими фекалиями. То, что развитие токсоплазмы подавляется лекарствами от шизофрении, давало основание подозревать вклад паразита в этиологию данного заболевания. Некоторые данные указывали, что паразит может влиять на психику не только крыс, но и людей. В конце концов, мозг человека и мозг крысы достаточно схожи и управляются одними и теми же нейромедиаторами. Хотя находящемуся в нашем мозгу паразиту тяжело будет добиться того, чтоб человека съела кошка, он в принципе способен как-то повлиять на поведение носителя, изменив биохимию его мозга. Из-за особенностей климата и культуры токсоплазмоз распространен неравномерно. Им поражено всего около 7% жителей Англии и Японии против 80% населения Бразилии (благоприятный для паразита климат) и Франции (там любят мясо с кровью). В США зараженность колеблется для разных штатов от 18 до 29%. Лафферти (он, кстати, сам родом из засушливой Калифорнии, где токсоплазмоз редок) собрал и обработал имеющиеся данные о связи токсоплазмоза с особенностями личности (по крупицам разбросанные во многих исследованиях). Например, считается, что риск разбить свой автомобиль почти в три раза выше у носителей токсоплазм, чем у людей, свободных от этих паразитов. Кроме того, Лафферти исследовал связь между распространенностью антител к токсоплазмам у беременных женщин и данными о психиатрических отклонениях и культурных особенностях разных народов. В итоге исследователь обнаружил корреляцию между степенью зараженности разных народов токсоплазмами и распространением невротических элементов в культуре. ![]() По данным Лафферти, паразит усиливает у человека ощущение беспокойства, неуверенности, депрессии и вины. Какой характер примет аномалия, определяется культурным контекстом. Мы можем предположить, что комплекс вины может проявиться через переживание первородного греха Адама и Евы, ощущение личной греховности или невротические реакции на какие-то события индивидуальной истории. Интересно, что паразит по-разному действует на мужчин и женщин, усиливая гендерную дифференциацию в обществе. Женщины от действия токсоплазм становятся более интеллектуальными и сознательными, участливыми и склонными к морализаторству; они заводят больше подруг, делают много покупок. Для мужчин же характерна тенденция к ослаблению интеллекта, догматичности, эмоциональной изменчивости, ревности. При этом обоим полам становится труднее сосредоточиться на решении какой-то задачи. Как всякий американец, Лафферти обязан быть политкорректным. Он приходит к выводу, что поскольку воздействие токсоплазм дополняет культурное разнообразие, оно может быть позитивным. Франция была бы без него менее французской, а Бразилия - менее бразильской. Оценивая работу Лафферти, не следует забывать, что его доказательства носят в основном косвенный характер. В любом случае, кроме паразитов, процессы в психике современного человека сдвигает и множество других факторов (например, действие алкоголя, никотина, кофеина, искусственного освещения, избыточной плотности населения и прочая, и прочая). Кстати, мы не можем быть уверены в том, что токсоплазмоз - неестественное состояние человека. Коли на то пошло, африканских приматов ели не только змеи, но и кошачьи: и сохранившиеся сейчас львы с леопардами, и вымершие саблезубые кошки. Какая доля человеческого населения была заражена токсоплазмами, могли ли эти паразиты влиять на поведение людей благоприятным для себя образом - пока сказать трудно. Подождем критики выводов Лафферти и поступления новых данных. Впрочем, уже сейчас можно предположить, что если кто-то возжелает основать Церковь Вины и Раскаяния, в ней следует обязательно предусмотреть причастие с токсоплазмами. |
|
||
| Главная | В избранное | Наш E-MAIL | Добавить материал | Нашёл ошибку | Наверх | ||||
|
|
||||